
The Imaging Challenge
Addressing critical imaging gaps with our AI-driven 4D solution for enhanced diagnostic clarity.
Addressing the 2D CT Imaging Gap
Traditional 2D CT scans often fail to capture critical spatial and textural details—leading to missed diagnoses, delayed treatments,
and surgical errors that cost the healthcare system over $20 billion annually.
AIVR.4D Robotics system developed by Human Body Space AI, bridges this gap.
Powered by AI-driven robotics, AIVR.4D robotics transforms conventional 2D scans into 4D color-augmented visuals, unlocking previously unseen diagnostic data in real time.
Clinical results: 98% detection clarity improvement
Validated in a 36-case study (Asian Journal of Urology, 2024)
By reimagining imaging, AIVR.4D empowers clinicians with deeper insight, higher accuracy, and a clear path toward safer, more effective interventions.


CT Imaging Gap
Current 2D CT scans miss critical details, risking misdiagnoses and surgical errors. Our solution enhances imaging clarity, improving detection rates and patient outcomes significantly.


AI Robotics System
Our AIVR.4D system provides real-time, portable imaging at lower costs, equipping doctors with enhanced visuals for better decision-making and faster patient care.
AI-Powered 4D Imaging Solution
AI-Powered 4D Imaging Solution


AI-Powered 4D Imaging Solution
Our AIVR.4D Robotics System leverages deep learning and VR integration to:
- Convert 2D CT scans into real-time 4D color visuals.
- Highlight organs, vessels, and tumors with 98% clarity.
- Provide portable, cost-effective imaging for hospitals.
This technology reduces diagnostic errors, enhances surgical planning, and improves patient outcomes.
Benefits for Healthcare
Transforming Diagnostics with AIVR.4D
- Precision Diagnostics : 98% tumor clarity for early detection (Asian Journal of Urology 2024)
- Cost Efficiency: Reduces imaging costs by 50% with portable devices.
- Faster Decisions: Real-time 4D visuals enable quicker, more accurate treatment plans.
4D Imaging Solutions


AIVR.4D converts standard 2D CT scans into real-time 4D color visuals, delivering a dynamic, high-resolution view of internal anatomy for enhanced diagnostic and surgical accuracy.


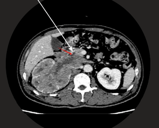
Accurate detection
The AIVR.4D Robotics System successfully detected cancer thrombi and tumor invasion along the wall of the Inferior Vena Cava (IVC)—a complex and often overlooked diagnostic challenge with conventional 2D CT imaging.
AI-Driven Insights


AIVR.4D pinpoints critical invasion sites—such as tumor spread along the Inferior Vena Cava (IVC)—by highlighting organs, vessels, and tumors with 98% clarity.
AIVR .4D Robotics Imaging
Revolutionizing medical imaging for better outcomes.
Conatact .
Trust
E: stewart@humanbodyspaceai.com
E: info@humanbodyspaceai.com
E: 4Dimage@humanbodyspaceai.com
W: www.humanbodyspaceai.com
P: 0062 22 1960155 (NZ)
P: +852 90881855 (HK)
© 2025. All rights reserved.
Human Body Space AI NZ
VR Doctor medical international HK
