Send us your 2D CT scan data, and we’ll transform it into a 4D full-color visual for you

black and white bed linen

Revolutionizing Diagnostics with AI-Driven 4D Imaging

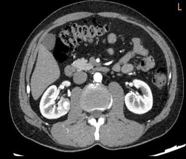
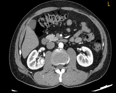
The AIVR.4D Robotics System, developed by Human Body Space AI, transforms traditional 2D CT

scans into real-time 4D color visuals, achieving 98% tumor clarity and targeting the

$20B global misdiagnosis crisis.

By fusing deep learning with advanced robotics, AIVR.4D empowers clinicians with

unprecedented diagnostic precision—redefining how we see, detect and treat disease.

Why AIVR.4D Matters

At Human Body Space AI, we're redefining medical imaging with AIVR.4D—a cutting-edge robotics system designed to bridge the imaging gap and elevate patient care.

AIVR.4D enhances diagnostic precision by integrating AI, 4D imaging, and robotic automation, achieving:

  • 98% tumor clarity (36-case clinical study, Asian Journal of Urology, 2024)

  • Up to 50% cost reduction in advanced diagnostics

  • Greater accessibility to high-performance imaging—especially in underserved regions

By combining real-time 4D imaging with intelligent robotics, we're transforming how clinicians see, interpret, and act on critical data—leading to earlier interventions, better outcomes, and smarter healthcare systems.

50%

98%

Detection Rate

Lower Costs

Key Benefits

Transforming medical imaging with AI-driven 4D visuals for enhanced clarity and improved patient outcomes.

Enhanced Detection

Delivers 98% tumor clarity for highly accurate, early-stage diagnoses
(36-case study, Asian Journal of Urology, 2024)

man in blue and white collared shirt wearing green face mask
man in blue and white collared shirt wearing green face mask
Cost-Effective

Reduces imaging costs by up to 50% through compact, portable robotics—bringing advanced diagnostics to more settings

Empowers clinicians with live 4D visuals, accelerating diagnosis and enabling faster, more informed treatment decisions

Real-Time Insights
1 us dollar bill
1 us dollar bill
grayscale photography of analog pocket watch
grayscale photography of analog pocket watch

Traction & Progress

Backed by clinical validation: 98% tumor clarity demonstrated in a 36-case study (Asian Journal of Urology, 2024)

We’re fundraising at Monument to scale our AI Hub, bring top AI talent on board, and accelerate deployment into hospitals.

If you believe deep tech can save lives — this is your moment to invest.

Our roadmap: AI trained, hardware scaled, hospitals onboarded—all in 18 months.

Healthcare is changing fast, and AI is leading the way. Human Body Space AI is at the forefront.

Deep tech isn’t the future—it’s happening now. Be part of the revolution.

AIVR.4D transformed our imaging, enhancing clarity and accuracy in diagnostics

Asian Journal of Urology

★★★★★

Traction & Progress